发布时间:2018-07-23
来源:办公室
浏览人数:3001
“为美而生”——为了更好的解决患者的美学缺陷,满足大众日益增高的美学与功能要求,青岛市口腔医院美学工作室应运而生。本科室诊疗范围涵盖影响美观的各种口腔问题,目前开展了前牙美学修复,咬合重建,隐形矫治,美学区种植修复,牙周美学手术等,之后还将逐步开展软组织美学、正颌外科、外科微整形等诊疗项目。

“向美而行”——经过前期的精心准备,美学工作室各项准备工作基本就绪,现正式对外开放接诊,科室由修复专业、正畸专业、牙周专业及种植专业共同组成,拥有先进的诊疗理念与治疗设备,聘请院内各科专家及青年医师骨干,形成美学专家团队,并有国内知名专家定期会诊,为“美”保驾护航。
“一流的环境”——口腔美学工作室,打破传统的公立医院的装修布局,为您打造一流的候诊和就诊环境,在优雅静谧中确保您的隐私不受打扰。

“一站式就诊”——为提升服务质量,优化就诊流程,本科室为患者提供“一站式就诊”模式,即在本科室内患者无需转诊,即可完成各个专业的治疗。同时工作室全面实行预约服务,预约就诊,无需等候。治疗完成后还将有定期随访,确保“美而持久”!
接诊时间:
每周一至周五全天。
预约方式:
1、可直接电话预约,电话:67756312 美学工作室。
2、下载慧医APP——青岛市口腔医院——美学工作室。
3、微信关注公众号“青岛市口腔医院”——预约挂号——美学工作室。
4、直接到青岛市口腔医院三楼美学工作室,现场预约。
接诊方式:
1、初诊:初步检查,留取模型、照片等资料;
2、会诊:各专业会诊后,制定治疗方案和治疗计划;
3、复诊:沟通治疗方案和计划,进行相关治疗。
我们会根据您的需求,私人订制您的专属口腔治疗方案,及时电话提醒、预约、回访。
地址:青岛市市南区德县路17号,青岛市口腔医院三楼。
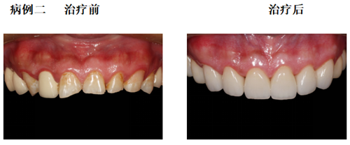
优秀口腔美学病例展示: