发布时间:2018-09-06
来源:办公室
浏览人数:2587
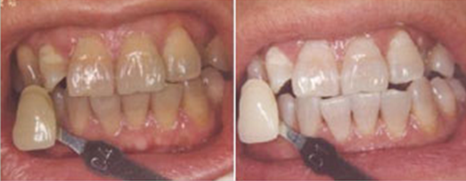
明·胡文焕曾在《琼琚记·桑下戏妻》中写道:“只见唇红齿白,桃花脸,绿鬓朱颜柳叶眉,因此不忍而去。”可见亮白的牙齿是面部美观的重要影响因素,迷人的微笑,人人向往,也是美貌重要的组成部分;而你,是否因牙齿颜色异常而困扰,无法绽放自信笑容?无需担忧,爱牙日临近,青岛市口腔医院美学工作室推出皓齿美白惠民活动,用60分钟给牙齿一次“表白”的机会,绽放自信!

具体活动:
1、9月9日至12月30日(限工作日),前50名口腔美白患者享受“皓齿诊室美白”优惠价1200元!
2、活动期间所有就诊患者享受免费系统口腔检查及前牙区美学缺陷治疗设计。
3、就诊流程:通过“青岛市口腔医院”微信公众号、慧医APP、预约电话67756312等方式预约或现场挂号“美学工作室”,经医生临床检查确认适合进行皓齿诊室美白后,安排于“美白日”进行美白治疗。
皓齿美白采用美国原装进口材料,经150多国200万人成功验证,具有以下优势:
1、即刻白——不改变牙齿结构的情况下,60分钟改善牙齿颜色,提高5-7个vita色阶。
2、健康白——氟化剂封闭牙本质小管,减少牙齿敏感;对牙龈无损伤,舒适无痛。
3、自然白——通过氟化剂保护牙齿,过氧化剂美白牙齿,从牙釉质渗透到牙本质,分解深层牙色素,让牙齿自然洁白,富有光泽、透明感。
适用人群:
1、四环素牙:指四环素族药物引起的着色牙,多由于牙齿发育矿化期服用四环素族药物所致,四环素族药物可被结合到牙组织内,使牙着色,在阳光照射下会呈现出明亮的黄色荧光,以后逐渐由黄色变成棕褐色或深灰色,前牙比后牙着色明显。

2、氟斑牙:牙齿发育时期人体摄入氟量过高所引起的特殊型牙齿釉质发育不全,临床主要表现为釉质出现着色的斑块和缺损,是地区性慢性氟中毒的一种突出症状。

3、外因性色素牙:因饮食、烟、茶、咖啡等色素附着于牙齿表面,导致牙齿发黑发黄,这些色素会进入牙齿深层,一般的洗牙方法难以使色素牙变白。