防治结合

您当前的位置:首页>防治结合>防治结合

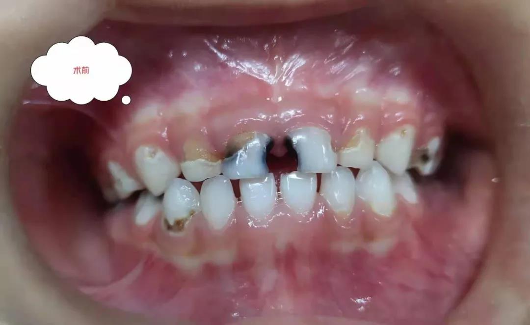
4岁女童20颗乳牙烂了15颗,结果“睡一觉”全治好啦——青岛市口腔医院舒适化解难题

发布时间:2021-06-02 来源:办公室 浏览人数:8043

“真漂亮,快让姐姐看看我的小白牙!”6月1日下午5点多,在青岛市口腔医院病房,家住城阳的4岁小女孩然一张着嘴巴,露出崭新的牙齿,央求妈妈给自己牙齿拍照片发给姐姐。

当天是六一儿童节,小然一在这天收到了一份特殊的礼物,她的15颗龋齿在“睡了一觉”后全治好啦。

因为夜奶、甜食和不爱刷牙,小然一20颗牙齿有15颗牙齿发黑龋坏了,这严重影响了孩子的咀嚼和进食,平时只能吃些软食,还动不动就喊牙疼。小然一父母看在眼里,疼在心里,为了治疗孩子的牙齿,试过了很多口腔诊所,但孩子一上牙椅就抗拒哭闹,不配合医生护士,多次治疗都没有成功。

由于孩子的牙齿龋坏实在太多,并且年龄偏小不易配合,治疗难度很大,采用常规治疗可能需要多次就诊,周期较长,并非最优选择。然一的牙齿由青岛市口腔医院辽阳东路门诊部主任赵霞亲自治疗,赵霞主任有着多年全身麻醉下儿童口腔疾病的综合治疗经验,在了解情况后,专门为孩子制定了无痛舒适化口腔治疗方案。术前,麻醉手术科专业团队对孩子进行了全麻前身体评估,确保身体指标全部正常。


手术定在了6月1日下午,小家伙在护士阿姨的引导下,勇敢地自己走进了手术室。在抱着护士阿姨给她的一个可爱的小玩具后,然一略有些紧张神情慢慢放松下来。此时麻醉医生和护士拿来一个大“气球”(麻醉面罩)请然一帮忙“吹气球”。吹了几口气后,打了个大大的哈欠,孩子安稳地进入了梦乡。
由于术前的沟通,赵霞主任根据然一的性格特点,采取了最合适的麻醉诱导方式。此外,麻醉护士还贴心地为孩子做好各种保护:眼部遮挡防护,嘴唇上涂抹凡士林防干燥,盖上消毒绒毯保暖。

手术开始了:补牙、根管治疗、戴牙冠,赵霞主任和她的儿童口腔团队有条不紊地进行着操作。医院麻醉手术专业团队则全程陪护、寸步不离,密切关注治疗中小然一的生命状态。一切井然有序,只有仪器发出“嘀、嘀”的声音。

经过3个半小时的高效治疗,赵霞主任和她的儿童口腔团队一次性为然一解决了口腔内全部的牙齿问题,共完成牙体缺损修复7颗,根管治疗8颗,冠修复7颗,其中前牙透明冠2颗,后牙预成冠5颗。
治疗结束后,随着麻醉药力的消失,小家伙慢慢地从睡梦中醒来。在复苏观察一段时间后,经麻醉医生确认,然一可以回病房了。在病房里,美味的饭菜已经为她准备好,经过精心治疗的小牙齿,马上就派上了用场。


然一还不明白怎么只是睡了一觉,牙齿就焕然一新了,但她看着镜子里的一口小白牙开心地笑了,央求妈妈给她拍张美美的照片,发给家人看。“孩子没遭罪就看好了牙,不哭不闹还主动配合医生,原来黑黑的蛀牙现在变得十分健康,吃饭胃口都变好了,我心里的一块大石头终于落了地,别提多开心了。”然一妈妈说。

“儿童无痛舒适化口腔诊疗的价值,在于减少治疗过程中患者的痛苦,减轻他们不愉悦的体验,让整个检查和治疗过程更加顺畅。”赵霞主任说,若采用传统治疗方式,家长和孩子至少需要往返医院10多次,费时费力。而采用无痛舒适化诊疗,只要宝宝睡一觉,醒来就能还他一口健康的牙齿。

为了更好地解决乳牙治疗和孩子恐惧治疗的问题,青岛市口腔医院的儿牙医生们一直不断探索更好的治疗方式,针对小患者的不同年龄、不同疾病情况,从心理和情绪等方面进行多维主动诊疗,获得广泛认可。


当天恰逢六一儿童节,在手术结束后,赵霞主任颇有感慨,在微信朋友圈里留言道,“在我们有爱的医护团队的治疗护理下,小朋友的15颗小坏牙,在六一儿童节发生了美丽的蜕变。这应该是爸爸妈妈送个孩子的一份特殊的,健康的和自信的大礼吧!”
祝愿所有的小朋友都能拥有一口健康的小白牙

版权所有:青岛市口腔医院

总院地址:青岛市市南区德县路17号    联系电话:0532-82829900

云霄路门诊部地址:青岛市市南区云霄路118号    联系电话:0532-66016007

辽阳东路门诊部地址:青岛市崂山区辽阳东路9号7号馆3层    联系电话:0532-66729929

西海岸新区门诊部地址:青岛市黄岛区长江中路487号国汇大厦4楼    联系电话:0532-83776518

邮编:266001

备案号: 鲁ICP备13004238号-1     技术支持:365健康在线

鲁公网安备     37020202000172号